PET-CT装置
PET-CT検査は、全身のPET検査とCT検査が同時に行える最新のがん検査で、これまで発見が難しかった小さいがんも見つけることができ、しかも体に負担の少ない楽な検査です。
がんは成長が速く活動性が高いため、正常組織の3倍から20倍の糖分を取り込みます。この性質を画像化したのがPET検査です。PET検査だけでは、異常の場所の診断が難しいため、今ではCT検査と組み合わせて行います。これがPET-CT検査です。今回、当院に最新鋭の装置が入りましたので、PET-CT検査が可能になりました。PET-CT検査では、全身のがんの診断が可能ですが、胃、肝臓、腎臓、膀胱など発見の苦手な場所もあり、万能な検査ではありません。
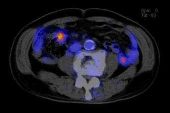
大腸がんの患者さんの実際の写真を示します。図1のPET画像では、腫瘍の活動性がよくわかります。図2のCT画像では、腫瘍の形がわかりますが、これだけでは診断は難しい像です。図3のPET-CT画像では、腫瘍の形と活動性が両方ともわかり、自信を持って大腸がんと診断できます。
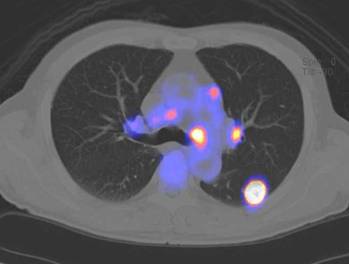
肺がんの患者さんの実際の写真を示します。図4、図5のPET-CT画像で、肺がんが小さいリンパ節に転移している様子が明瞭に示され、治療方針を立てるのに役立ちます。
当院では、この検査を、①がんで診療中の当院の患者さん、②地域連携として、他院でがんの診療中の患者さん、③がんが心配という一般の方々を対象として広く行っていく予定です。なお、費用は①、②の方は三割負担で約3万円、③の方は健康管理センターでのPET-CT健診で9万8千円です。
![]() |
![]() |
| 図 1 PET 画像 | 図 2 CT 画像 |
![]() |
|
| 図 3 PET - CT 画像 | |
![]() |
![]() |
| 図 4 PET - CT 画像 | 図 5 PET - CT 画像 |




















