磁気共鳴画像診断(MRI)

【MRI装置】
MRIとはMagnetic Resonance Imagingを略したもので、日本語では磁気共鳴画像といいます。あらゆる方向から断層写真を撮影し、体内の状態を把握する検査です。人体を強い磁場(エレキバンの約15倍)の中に入れ、特殊な電波を与えると体内の水素原子はそれに反応してある信号を発生します。この信号をコンピュータで処理し、人体の内部を画像化するというのが大まかな原理となります。癌の診断や治療効果判定におけるMRIの役割は大きく、様々な部位に対し日々検査が施行され、特に肝臓・前立腺・子宮・卵巣に関しての診断能力に優れるといわれます。非常に小さな癌も診断可能であり、病期の特定から手術のシュミレーション等、幅広く貢献しています。

MRIの断層撮影
1.肝臓
特殊な造影剤を用いることにより、血流状態・肝機能という多方向からのアプローチが可能で、将来的に治療を要するような腫瘍もある程度特定でき、早期診断・治療が可能です。造影剤注入後、一定の間隔で撮影することにより、治療の必要な癌と、悪性度が低く早急な治療は必要ありませんが、将来的には治療を要する可能性が高い癌を鑑別できます。
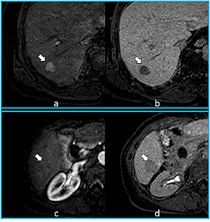
肝臓癌の症例を紹介します。

肝臓癌(上段は悪性度が高い癌、下段は悪性度が低い癌)
図の左側は造影剤注入直後、右側は注入15分後の画像です。図の上段は早急に治療が必要な癌で、造影剤注入直後は白く(a 矢印)、15分後には黒く(b 矢印)描出されます。一方、下段の悪性度が低い癌は、注入15分後のみ描出されます(c、d 矢印)。このように悪性度を正確に診断できるため、治療を適切な時期に行うことが可能です。
2.子宮
MRIは組織間の分解能力に優れるため、癌の描出に優れます。正確な病期診断により適切な治療を行うことが可能です。
子宮体部癌の症例を紹介します。
![]() 図.1 造影剤使用した矢状断像 |
![]() 図.2 拡散強調画像 |
造影剤を使用し、撮影する事で癌の存在・広がりを正確に診断することができます(図.1矢印)。癌が子宮のどこに存在し、周囲の臓器へ浸潤しているか否かは治療方針を決定する上で非常に重要な要素となります。また、特殊な撮影法を併用することで、より癌は明瞭に描出され(図.2 矢印)、周囲のリンパ節への転移(図.2 矢頭)も確認が容易となります。

















