CT装置を用いた特殊な検査と治療
1.MDCT
MDCTとは多列検出器CTのことで、X線を受ける検出器が複数列あります。2009年より64列128スライスのCT装置が導入されました。本装置では検出器が64列もあるため、きわめて多量の情報を短時間に得ることができます。さらにZ-sharpテクノロジーという新技術により情報量を倍の128スライスに増やすことができます。短時間に広い範囲を検査することができるため、呼吸を止める時間が大幅に少なくなり、検査が楽になりました。また、精密な画像が得られ、得られた画像情報を再構築することで多方向の断面や、3D(立体)表示が可能となり、小さな病変をも見つけられるようになりました。造影剤を用いた検査では腫瘍などの血流の豊富さや、他の臓器、組織や血管などとの関係がわかり、腫瘍の良性悪性の診断や、腫瘍の進展範囲をより正確に診断することができるようになりました。さらには、その画像処理能力の早さを生かし、リアルタイムに画像を見ながら経皮的肺針生検やマーキング(腫瘍への印付け)にも用いられています。

【64列128スライスMDCT装置】
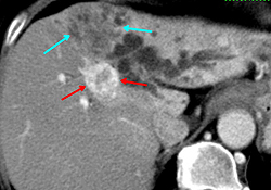
肝細胞癌と肝内胆管癌の混合症例を提示します。図1では、青矢印のやや黒く写るところが肝内胆管癌で、赤矢印の白く写るところが肝細胞癌です。造影剤注入後に早いタイミングで撮影することによって腫瘍の鑑別がしやすくなります。図2は同じ症例の3D画像です。血管構築像を3D作成することによって腫瘍と血管の位置が明確になり、手術の際に役に立ちます。図3は膵臓に沿って断面の傾きを調整した画像(多方向断面)で、膵臓中央部に腫瘍(小矢印に囲まれた部位)があり、腫瘍によって閉塞した膵管(大矢印)が拡張している様子が観察されます。
図4は、微小肺癌にマーキングしている途中の画像です。
![]() |
![]() |
| 【図1】 | 【図2】 |
![]() |
![]() |
| 【図3】 | 【図4】 |
2.IVR-CTシステム
IVRとは、interventional radiologyの略であり、画像診断の技術を駆使して治療に役立てようという近年発達の著しい分野です。簡単に訳すならば「画像支援治療」となります。当院では、より安全に、より効果的にIVRを実践するために、1997年4月からIVR-CTシステムを導入しています。IVR-CTシステムとは、従来別々の検査室で施行されていた血管造影検査とCT検査を複合した装置です。この装置を用いれば、通常の血管造影およびCT検査単独では指摘することが困難な腫瘍や病変を、より明瞭に指摘することができます。そして、同時に、肝動脈塞栓術、肝動脈血流改変術、抗癌剤動注用リザーバー留置術などの治療を安全かつ確実に行うことができます。

【IVR-CTシステム】
3.IVR-CTを用いたCTA(肝動脈造影時CT)/CTAP(門脈造時CT)
CTA/CTAPとは、肝臓に流れる血管(肝動脈や門脈)に造影剤を注入すると同時にCT検査を行う方法で、肝癌に対する検出能の最も高い検査のひとつです。進行肝癌ではCTAにてよく造影され、CTAPにおいては造影されず抜けて見えます。 早期の段階の肝細胞癌ではCTAでは造影されません。

【進行型肝癌のCTA/CTAP画像】



















