病理細胞診検査室
病理細胞診検査とは、患者さんから採取された組織や細胞を顕微鏡下で観察可能なガラス標本とし、その標本を検鏡して疾患の診断や病因の究明を行うことです。
当院の病理細胞診検査は組織検査・細胞診検査・病理解剖の3分野に分かれています。
組織検査
(1)生検組織診断
| 内視鏡検査あるいはメスや針を用いて病変(組織)の一部を採取した検体が対象となります。 良性・悪性の鑑別をはじめ病変の性状を組織学的に診断します。この結果が手術の必要性などその後の治療方針の決定に繋がります。 |
内視鏡生検材料 |
(2)手術摘出臓器の組織診断
| 開腹や開胸などにより病変部位を取りきった臓器・組織が対象となります。 良性・悪性の鑑別診断に加え、病変の大きさや広がり、腫瘍の場合には転移の有無を検索します。この結果により追加治療の必要性や治療方針が決まってきます。 |
胃手術材料 |
(3)術中迅速診断
| 術中迅速診断とは、切除範囲の決定や手術方針の決定のため、手術中に採取された組織を迅速で標本の作製を行い、検鏡・診断することです。 提出された材料をドライアイス・アセトン溶液で瞬時に凍結させ、右写真の装置にて標本を作製します。 30~40分程度で結果報告がなされます。 |
凍結切片 作製装置 |
組織検査の検体処理~標本作製までの過程
| 1 生検材料処理 生検材料の採取量・数を確認します |
2 手術材料切り出し![]() 肉眼的所見を下に 組織診断に必要な部位を切り出します |
|
| 3 パラフィン包埋作業 切り出された材料を パラフィン包埋します |
4 パラフィン包埋ブロック ![]() |
|
5 薄切作業![]() パラフィンブロックをミクロトーム装置で 2~3μmの厚さに薄切します |
6 標本の染色![]() 薄切した切片をガラスに貼り付け 染色を施行すれば組織標本の完成です |
|
細胞診検査
| 採取された材料中の細胞一つ一つを顕微鏡下で観察し、異常細胞の有無を調べる検査です。病気の早期発見や疾患の良性・悪性の推定が可能です。組織検査と比べ、患者さんへの侵襲が少なく再検査をしやすいのが特徴です。 対象となる材料として子宮膣部・頚管および体部内膜の擦過、喀痰、尿、体腔液、病変部からの穿刺吸引などがあります。 |
![]() 細胞診検体 |
細胞診検査の検体処理~標本作製までの過程
1 検体処理![]() 材料をガラスの引き合わせで 薄く延ばします |
2 標本の染色![]() パパニコロー 染色標本です |
3 鏡検![]() 標本中の全細胞を観察し 異常細胞の有無を検索します |
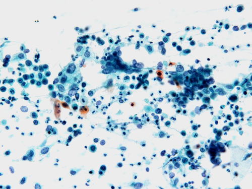
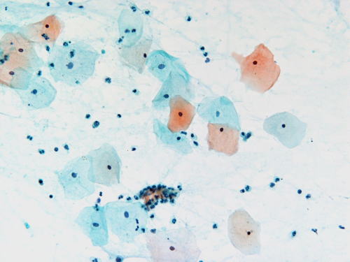
![]() 子宮膣部の正常細胞 |
![]() 子宮膣部の癌細胞 |
病理解剖
| 病理解剖とは、ご遺族の承諾のもと、病死された患者さんのご遺体を解剖させていただくことです。犯罪や事故が絡む法医解剖や医学生教育のための系統解剖とは異なります。 その目的は治療の妥当性や死因の解明を行うことで、お亡くなりになられた方の病態解明のみならず、同様の病気で苦しまれている方々の診断や治療のためにも貴重な情報となります。 解剖時間は2~3時間程度です。解剖時に肉眼的な病変検索を行い、その後、組織検査と同様にして標本を作製し顕微鏡下で最終診断します。 |
![]() 剖検室 |
遺伝子検査
| 遺伝子検査(ヒト体細胞遺伝子検査) 採取した組織・細胞を用いて、がん細胞の遺伝子構造・発現を調べる検査です。これにより、がん治療の分子標的薬使用可否が判断できます。 当院では、平成29年7月よりヒト体細胞遺伝子検査の院内実施を開始しました。 |
外部精度管理
| 外部精度管理 以下の外部精度管理事業に参加しています。 ・(一社)日本臨床衛生検査技師会 ・(公社)日本臨床細胞学会 ・NPO法人 日本臨床細胞学会 ・(一社)岐阜県臨床細胞学会 |


























