X線撮影検査
X線撮影とは?
物質を通過するX線の性質を用いて、からだの中の様子を撮影します。胸部、腹部、骨、乳房など全身を正しい姿勢で撮影しています。
![]() |
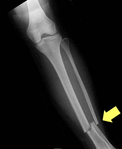
![]() |
| 胸部正面像(正常) | 下腿正面像(骨折) |
長尺撮影
岐阜県で初の長尺用フラットパネル撮影台が導入されました。長尺撮影では、一度に広範囲の撮影を行うことができます。撮影台には縦横17インチのフラットパネル検出器が3枚内蔵されており、従来の装置に比べ低被曝でありながら画像の質が向上し、検査後の画像処理の時間が短縮されたことで患者さんの身体的な負担が減りました。
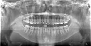
パントモCT装置
使用装置:モリタ社製ベラビューX800
2021年7月に歯科口腔外科系の撮影を行うパントモCT装置が新たに導入されました。
この装置では、2次元的に歯や顎の撮影を行うオルソパントモ撮影や顎関節撮影に加え、3次元で立体的に歯や病変を描出できるコーンビームCT撮影の機能も搭載されました。そのため従来の装置と比較して、より画質の良い、診断に有用な優れた画像検査が可能となります。
![]()
パントモCT装置
| オルソパントモ画像 | 顎関節断層画像 |
| 任意断面画像(横断像) | 任意断面画像(冠状断) | 任意断面画像(矢状断) |
| 3D再構成画像 |
乳幼児撮影
リラックスできるよう工夫しています。

乳幼児撮影台
医療で用いる放射線の安全性(人体への影響)
放射線検査を行う際、「放射線は体に有害と聞いたけれど、大丈夫ですか?」という声をよく聞きます。放射線検査で使用される放射線の量は、下の図に示すように、普段生活していても自然と受ける放射線の量と変わりません。からだへの影響は無いといわれています。
![]()
日常生活と放射線の検査で受ける放射線量
検査に使われる放射線は厳しく管理・運用されています。検査は病気を発見または診断し、治療するために行われるものです。検査指示をよく聞き、安心して検査を受けてください。
正しく検査を受けるためには...
放射線検査を受ける際に、写真に一緒に写りこんでしまう物があるため、あらかじめ取り外していただいています。ご協力お願いします。
写真に影が出るもの
- ブラジャー
- ネックレス
- エレキバン(磁気のもの)
- ホッカイロ
- ボタン類など(プラッスチック、金属など)
妊娠されている方へ...
受付の際、妊娠の旨を、スタッフにお伝えください。安心して検査を受けていただけるよう配慮致します。
撮影の順番について...
緊急性のある患者さんの場合には、検査の順番を優先することがあります。ご理解とご協力をお願い致します。
その他...
正しい姿勢で撮影するために、身体に触れます。痛みを感じる場合には遠慮なく声をかけてください。

















