血管造影検査

血管造影検査とは
血管造影検査とはカテーテルと呼ばれる管を太ももの付け根または腕の血管から目的の血管まで挿入し、造影剤を流し込みながらX線撮影を行う検査です。血管が狭いまたは詰まってないか、腫瘍に栄養を送っている血管はどれかなど、血管が関係している疾患を詳しく調べることができます。また狭くなった血管を広げたり、腫瘍に栄養を送っている血管を詰め、検査から治療まで行う事が可能です。
検査時間は30分から数時間となります。
当院装置の紹介
当院には4台の血管造影X線診断装置があり、第1・第2血管造影検査室では主に心臓(循環器内科・ 小児循環器科)、第3血管造影検査室は主に頭部、下肢(脳神経外科、循環器内科)、第5血管造影検査室では主に腹部(消化器内科)の検査・治療を行っています。
第5血管造影検査室では血管造影検査とCT検査の両方を行うことができるIVR-CT装置が設置されています。また中央手術室にはハイブリット手術室と呼ばれる血管造影X線診断装置と手術台が一体となった装置があります。
![]() |
![]() |
![]() |
![]() |
![]() |
当院で行っている主な治療
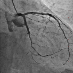
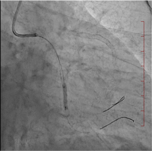
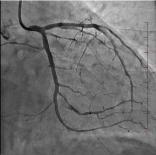
経皮的冠動脈形成術
経皮的冠動脈形成術とは、狭くなった、あるいは詰まった冠動脈(心臓の筋肉に血流を送る血管) に対し、カテーテルを用いる治療法の総称です。バルーンやステントを使用して冠動脈を広げる治療です。
![]() |
![]() |
![]() |
| 治療前 | ステント留置中 | 治療後 |
経皮的カテーテル心筋焼却術
治療用のカテーテルを太ももの付け根から血管を通じて心臓に挿入し、カテーテル先端から高周波電流を流して焼灼(焼いて治療すること)することで不整脈を治療します。また、心房細動に対する新しいアブレーション治療法として膨らませた風船を肺静脈の付け根にあて冷凍凝固して治療するクライオアブレーションも行っています。
下肢動脈インターベンション
下肢の動脈の血管内治療のことをいいます。
下肢の血管に動脈硬化が起こり血液の流れが悪くなった状態を「閉塞性動脈硬化症」といい、この状態が続くと、そこから足先までが酸素不足、栄養不足状態となり足の痛み、しびれ、冷感などの症状が起こります。
心臓の動脈と同じようにバルーン、 ステントなどで狭くなった動脈を広げる治療を行います。
大動脈ステントグラフト内挿術
腹部の大動脈瘤に対する血管内治療です。ステントと人口血管が組み合わさったデバイスを用いて瘤が破裂しないように補強します。 腹部を切開する必要は無く、体にかかる負担はとても少なくなります。
コイル塞栓術(頭部動脈)
脳の動脈に瘤(コブのようなもの)ができ、それが破裂すると「くも膜下出血」となります。破れた瘤または未破裂の瘤に対して金属製のコイルを詰め込み、 出血の予防をする治療を行います。
血栓回収術
脳梗塞の原因となっている血栓を、カテーテルを使用して取り除く治療です。主に太い血管に詰まった血栓に適応となります。この「血栓回収療法」により、今までなら手足の麻痺が残っていたような患者様も、後遺症なく歩いて帰るというケースもあります。発症から8時間以内が適応時間とされています。
動脈塞栓術
腫瘍を栄養している動脈や出血している動脈を塞栓物質で詰めて治療することです。当院で行っている冠動脈化学塞栓療法(TACE)は、がん細胞(腫瘍)に酸素や栄養素を供給している動脈を抗がん剤と塞栓物質で塞栓します。主にX線CT装置と一体になった血管造影装置(IVR-CT装置)で検査・治療を行いっており、 X線CT装置を使用して腫瘍の栄養血管を同定し、3D画像を作成することで、血管の走行や目的血管を立体的に描出し、手術支援を行っています。その他に、骨盤骨折や喀血などで出血している血管をコイルなどで詰めて止血します。
![]() |
![]() |
| 肝動脈DSA画像 | X線CT-3D画像 |
血管造影室スタッフより
心臓の動脈が詰まったり(急性心筋梗塞)、動脈が破裂して出血したり(脳動脈瘤破裂など)すると、生命に関わる重篤な状態に陥ります。 こういった場合は 緊急的に血管内治療が必要となります。そのため365日24時間体制で血管造影スタッフはこれらの検査に対応できるようにしています。
何か不安なことがありましたら気軽にスタッフにお申しつけください。
患者さんが安心して検査、治療を受けられるようにスタッフ一同努めて参ります。

























