ホーム診療科・部門案内画像部門(放射線) > CT検査の説明

CT検査の説明

CT18.png

使用装置

CTの特徴

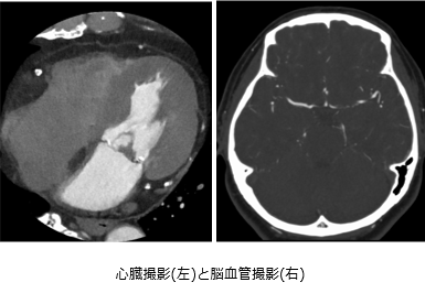
撮影画像

使用装置

CT19.png
Ct20.png
CT21.png

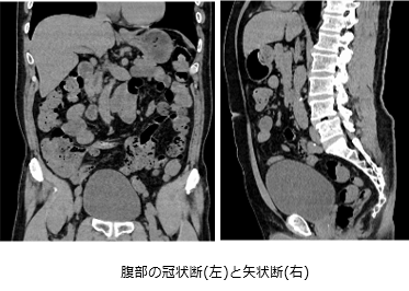
CTの特徴

CT22.png CT23.png

いろいろな断面を撮影することができるため、

骨や臓器などの状態を詳しく見る事ができます。

造影剤を使用することで、臓器や血管の構造などを

より詳細に把握することができます。

撮影画像

CT24.png

前ページへ戻る