消化器内科
消化器内科の紹介
消化器科は1963年に発足以来約40年の歴史があります。
発足以来人数は増えて、十数人の人員で診療しています。
入院患者のベット数は94床、外来には5つの診察室があります。病院では最もたくさんの患者さんを診察しており、年間の新入院患者数は約2100人で、消化器系全般にわたる診療を行っています。
基本方針
消化器科の扱っている臓器は消化管(食道、胃、小腸、大腸)、肝臓、膵臓、胆道と多岐にわたっており、単一臓器のみに目を向けるのではなく、各臓器間の関連を重視しながら総合的に診療にあたっています。
国内外の学会および研究会には常に参加・発表し、最先端の知識および技術を導入して常に患者さんに還元できるように努力しています。
また根治を期待できない癌の患者さんにはQuality of life(QOL)を考慮した全人的治療を行っています。
■肝癌診療に対する新型コロナウィルス感染の影響についての消化器内科の研究が、国際雑誌に掲載されました。
1、肝癌診療に対する新型コロナウィルス感染の日本・米国・シンガポールの国際比較
2、大垣市民病院消化器内科通院患者さんにおける新型コロナウィルス感染の影響
■ALBIスコア:大垣市民病院のデータから生まれた肝機能評価の新しい世界基準
スタッフ紹介
- 北畠 秀介

| 役職 | 主任部長 |
|---|---|
| 卒業大学名 医師免許取得年 |
名古屋大学 1997年 |
| 専門医資格(その他) | 日本消化器病学会専門医 日本消化器内視鏡学会専門医・指導医 日本内科学会認定医・指導医 日本消化管学会胃腸科認定医 日本がん治療認定医機構がん治療認定医 |
| 専門分野 | 消化管 |
- 豊田 秀徳

| 役職 | 院長 |
|---|---|
| 卒業大学名 医師免許取得年 |
名古屋大学 1990年 |
| 専門医資格(その他) | 日本消化器病学会専門医 日本消化器内視鏡学会専門医 日本肝臓学会専門医・指導医 日本内科学会認定医・指導医・総合内科専門医 Fellow of American College of Physicians(FACP) |
| 専門分野 | 肝臓 IVR |
- 久永 康宏

| 役職 | 部長 |
|---|---|
| 卒業大学名 医師免許取得年 |
三重大学 1990年 |
| 専門医資格(その他) | 日本消化器病学会専門医・指導医 日本消化器内視鏡学会専門医・指導医 日本内科学会認定医・指導医 |
| 専門分野 | 消化管 |
- 安田 諭

| 役職 | 医長 |
|---|---|
| 卒業大学名 医師免許取得年 |
岐阜大学 2007年 |
| 専門医資格(その他) | 日本消化器病学会専門医・指導医 日本消化器内視鏡学会専門医 日本肝臓学会専門医・指導医 日本消化器がん検診学会総合認定医 日本内科学会認定医 |
| 専門分野 | 肝臓 IVR |
- 片岡 邦夫

| 役職 | 医長 |
|---|---|
| 卒業大学名 医師免許取得年 |
名古屋大学 2011年 |
| 専門医資格(その他) | 日本消化器病学会専門医・指導医 日本消化器内視鏡学会専門医・指導医 日本内科学会認定医・指導医・総合内科専門医 日本胆道学会指導医 日本膵臓学会指導医 日本がん治療認定医機構がん治療認定医 |
| 専門分野 | 胆膵 |
- 竹田 尭
| 役職 | 医長 |
|---|---|
| 卒業大学名 医師免許取得年 |
藤田医科大学 2012年 |
| 専門医資格(その他) | 日本消化器病学会専門医 日本消化器内視鏡学会専門医 日本肝臓学会専門医 日本内科学会認定医 |
| 専門分野 |
- 腰山 裕一
| 役職 | 医員 |
|---|---|
| 卒業大学名 医師免許取得年 |
高知大学 2017年 |
| 専門医資格(その他) | |
| 専門分野 |
- 堀田 朋子

| 役職 | 医員 |
|---|---|
| 卒業大学名 医師免許取得年 |
名古屋大学 2018年 |
| 専門医資格(その他) | 日本消化器病学会専門医 日本内科学会専門医 |
| 専門分野 |
- 澤田 悠太郎
| 役職 | 医員 |
|---|---|
| 卒業大学名 医師免許取得年 |
山梨大学 2018年 |
| 専門医資格(その他) | 日本内科学会専門医 |
| 専門分野 |
- 石川 大貴

| 役職 | 医員 |
|---|---|
| 卒業大学名 医師免許取得年 |
名古屋市立大学 2019年 |
| 専門医資格(その他) | 日本消化器病学会専門医 日本消化器内視鏡学会専門医 日本内科学会専門医 |
| 専門分野 |
- 船戸 智史

| 役職 | 医員 |
|---|---|
| 卒業大学名 医師免許取得年 |
藤田医科大学 2019年 |
| 専門医資格(その他) | 日本救急医学会専門医 |
| 専門分野 |
- 尾仲 桜子

| 役職 | 医員 |
|---|---|
| 卒業大学名 医師免許取得年 |
京都大学 2021年 |
| 専門医資格(その他) | |
| 専門分野 |
- 梶井 智仁
| 役職 | 医員 |
|---|---|
| 卒業大学名 医師免許取得年 |
熊本大学 2023年 |
| 専門医資格(その他) | |
| 専門分野 |
- 杉山 健

| 役職 | 医員 |
|---|---|
| 卒業大学名 医師免許取得年 |
岐阜大学 |
| 専門医資格(その他) | |
| 専門分野 |
- 清水 勇哉

| 役職 | 医員 |
|---|---|
| 卒業大学名 医師免許取得年 |
大阪医科薬科大学 2024年 |
| 専門医資格(その他) | |
| 専門分野 |
手術症例
診療実績
外来実績
| 2024年 | 2023年 | 2022年 | 2021年 | 2020年 | |
|---|---|---|---|---|---|
| 内視鏡的粘膜下層剥離術(ESD) | 184 | 145 | 167 | 202 | 208 |
| (食道がん) | 13 | 12 | 11 | 7 | 21 |
| (胃がん) | 133 | 127 | 125 | 135 | 136 |
| (大腸がん) | 38 | 6 | 31 | 60 | 51 |
| 下部ポリペクトミー | 1039 | 979 | 1242 | 1676 | 1520 |
| 肝動脈化学塞栓治療(TACE) | 46 | 53 | 56 | 88 | 126 |
| ラジオ波焼灼治療(RFA) | 15 | 20 | 46 | 45 | 49 |
| 内視鏡的総胆管結石砕石術 | 236 | 208 | 180 | 204 | 197 |
| 内視鏡的胆道ステント留置術 | 140 | 137 | 123 | 148 | 121 |
| 2024年 | 2023年 | 2022年 | 2021年 | 2020年 | |
|---|---|---|---|---|---|
| 上部内視鏡検査 | 7184 | 6578 | 7449 | 8201 | 8054 |
| 下部内視鏡検査 | 3539 | 3181 | 2980 | 3864 | 3840 |
| 内視鏡的逆行性胆膵管造影(ERCP) | 438 | 393 | 465 | 434 | 421 |
| 腹部超音波検査 | 20579 | 20456 | 22950 | 14262 | - |
| 血管造影検査 | 66 | 78 | 124 | 145 | - |
入院実績
| 2024年 | 2023年 | 2022年 | 2021年 | 2020年 | |
|---|---|---|---|---|---|
| 入院患者総数 | 2141 | 2006 | 2176 | 2243 | 2275 |
学会発表
| 2022年 | 2021年 | 2020年 | 2019年 | 2018年 | |
|---|---|---|---|---|---|
| 国内学会・研究会発表 | 20 | 37 | 21 | 41 | 26 |
| 国際学会発表 | 5 | 5 | 0 | 5 | 3 |
| 論文(原著を含む) | 16 | 17 | 16 | 28 | 13 |
治療方針
(1)消化管(胃腸)
消化管では上部内視鏡検査は約9000件、下部内視鏡検査は約4500件と総数約13500件の内視鏡検査を行っています。上部内視鏡検査には「経鼻内視鏡」を導入し、患者さんの希望に応じて苦痛ができる限り少ない検査を行っています。
最近は診断だけではなく、低侵襲(体に負担の少ない)手術として上部および下部で内視鏡的粘膜切除(EMR)の占める割合が増加しています。
特にITナイフを使用した早期胃がんの内視鏡的粘膜下層剥離術(ESD)は早くから取り入れて行っており総数も400例を超すまでになっています。ESD施行時には常に他病院からの見学者が絶えず東海地方では中心的な役割を果たしています。
また消化管出血の内視鏡的止血術は昼夜を問わず行っており、止血ができなくて開腹手術に至る例はほとんどありません。
潰瘍再発防止目的および胃がんの予防のためにヘリコバクター・ピロリの除菌も1500人以上に行っています。ファーストライン(初回)治療無効例に対してもセカンドライン(薬を変更しての再治療)の治療も行っています。95%以上の潰瘍の患者さんの除菌に成功しています。
近年、新しい抗癌剤が多数発売されました。手術適応のない胃癌・大腸癌の進行例に対する化学療法も最新の情報を取り入れながら積極的に行い、効果をあげています。
(2)膵臓・胆道
膵・胆道系で最も多い疾患は胆石症です。多くの場合は無症状で、地域連携も行なって外来にて超音波検査などで経過観察を行なっています。しかし、胆管結石は腹痛、黄疸や発熱をきたし、時には敗血症となって危険な状態に陥ることもあります。
このような患者さんに対しては現在までに1000例以上の多数の内視鏡的乳頭切開術、乳頭バルーン拡張術を行ない、手術を行なわずに治療を行っています。胆のう結石のある患者さんはのちに胆のうを腹腔鏡でとる手術を外科で受けていただいています。
急性膵炎は重症化するとショックとなり肺、腎などの全身の臓器を傷害し、生命を脅かす重篤な疾患となります。豊富な症例の蓄積・経験に基づいて動注療法や血液透析を含む集学的治療を行ない、致死率の高い重症膵炎の患者を救うべく努力しています。
慢性膵炎は慢性の炎症により膵組織の荒廃をもたらし、腹痛や消化吸収障害あるいは糖尿病の合併などがみられ、まずは内科的治療が行なわれますが、近年では膵管狭窄に対する内視鏡的治療や膵石症に対するESWL療法なども行なっています。
全国的にも有数の多くの救急外来患者の診療を行なっている臨床病院の一つとして、急性膵炎や急性胆嚢炎・胆管炎のガイドライン作成に参加し、また厚生労働省の「難治性膵疾患調査研究班」による研究にも、以前からその協力者として参加しています。
膵癌や胆嚢癌などの膵・胆道系の悪性腫瘍は、残念ながら現在においても予後の不良な疾患とされていますが、最新の画像診断法を用いることにより体系的かつ合理的に診断、治療を行い、当院外科とも連携して治療成績の向上に努めています。切除不能な患者さんの場合、疼痛に対する緩和療法とともに、胆道狭窄をきたして黄疸をきたすことも多いため、積極的にステントなどによる内瘻術を行って、QOLを上げるように努めています。
(3)大垣市民病院における肝疾患診療
大垣市民病院消化器内科では数多くの慢性肝疾患・肝細胞癌の患者様の治療を行なってきました。慢性肝疾患は、その病気の初期や中期には全く症状がないものの、放置しておくと肝硬変となり、生命に大きな影響をおよぼす危険が生じます。肝細胞癌(肝がん)のほとんどは、慢性肝疾患を煩う患者さんの長期経過の末に発生します。つまり、慢性肝疾患と肝細胞癌は一連の「つながった病気」なのです。後述するように肝細胞癌の治療は最近非常に進歩しており、仮に肝細胞癌ができてしまっても進行した状態で発見されるのでなければさまざまな治療法を行なって十分に根治や長期生存を期待することはできます。しかし最善なのは「肝臓癌にならない」「肝臓癌になるのを防ぐ」ということですので、その意味からも慢性肝疾患の状態のうちに十分な治療を行うことが必要です。
それでは、まずは慢性肝疾患の種類や治療を見ていきましょう。慢性肝疾患には大きく分けてウイルス性肝炎・非ウイルス性肝障害の2つがあります。
1)ウイルス性肝炎
ウイルス性肝炎とは、肝炎ウイルスという体に持続的に感染して肝臓に慢性的に障害を起こすウイルスによって引き起こされる肝障害です。B型肝炎とC型肝炎があり、それぞれ別のウイルスの感染によって生じます。かつては肝硬変や肝癌の原因のほとんどはこれら肝炎ウイルスの感染によるものでした。現在はどちらのウイルスに対しても非常に効果の高い薬が使用可能であり、これらの内服により以前のような「何ともならない」病気ではなくなっています。
B型肝炎ウイルスに対しては現在、核酸アナログといって内服でウイルスの増殖を抑制し、肝障害を起こらなくする薬を使用することができます。この内服により、ほとんどの場合血液中のウイルスは検出できない程度にまで減少し、肝臓の数値(AST・ALT)は正常化します。すなわち肝障害が治まるわけです。この状態を維持できれば、B型肝炎ウイルスに感染していても肝臓が徐々に悪くなって肝硬変に至る可能性はグンと低くなります。 ただ、B型肝炎に関しては、後述するC型肝炎のように「ウイルスを消す・体の中から駆除する」ことを可能にする薬はまだありません(現在そのような薬の開発が世界中で試みられています)。「飲みだすと一生飲まなければいけなくなる」と言われる患者さんがいますが、ちょうど血圧やコレステロールのお薬のように「いい状態を保つ」、この場合は肝障害のない安定した状態で肝臓を長く保って、自分が生きている期間は肝臓が十分機能している状態を維持するのが治療の基本です。これにより、もし肝がんが発生してしまった場合でも肝臓には十分な治療ができるため、B型肝炎による肝細胞癌の患者さんの生存率は核酸アナログが無かった時代に比べて非常に改善しています。
一方、C型肝炎はわが国において長らく肝細胞癌の原因の第1位、肝疾患による死亡原因の第1位であったのですが、数年前に内服のウイルス薬が開発されてからはほぼ治る病気、ウイルスが駆除できる病気となりました。それまでのウイルス駆除を目指した抗ウイルス治療は、インターフェロンをいう注射薬とリバビリンという内服薬を半年〜1年半の長期にわたって内服するしかなく、薬の副作用も発熱・脱毛・うつ病・貧血など大変なものが多く、さらにそれでも治療に成功してウイルスが駆除される率は50%程度でした。対照的に2014年以降に使用可能となった内服ウイルス薬は2〜3ヶ月の内服のみで、副作用もなく、それでいて治療を行なった人の99%以上でウイルスが駆除されます(図1)。ちなみに当院ではここ2年間に限ってはこの治療でウイルス駆除ができなかった患者さんはゼロでした。

図1:大垣市民病院におけるC型肝炎ウイルス排除を目的とした抗ウイルス治療の成功率
このように、現在ではB型肝炎・C型肝炎いずれに対しても内服をするのみで副作用がなく、効果の高い薬があるのですが、問題は自分が肝炎ウイルスに感染しているということに気づかない方がまだまだいるということです。上で述べましたように慢性肝疾患は手遅れになるくらいに進行した状態にならないと症状が出ないためこのようなことになるのだと考えられます。検診で肝臓の数値に異常がある場合や、周囲に肝臓の悪い方がいる場合は、念のためご自身も肝臓の検査を受けましょう。
2)非ウイルス性肝疾患
ウイルス肝炎以外の「非ウイルス性肝障害」には比較的女性に多い自己免疫性肝炎や原発性胆汁性胆管炎等の疾患がありますが、中でも最近患者数が増えて大きな問題になってきているのが脂肪性肝疾患(NAFLD)です。さらに肝硬変に進んでいく可能性の高いものをNASHといい、わが国でも肝細胞癌の原因として年々このNASHによるものが増えてきています。かつて「脂肪肝では肝臓の数値は上がるが、肝臓は傷まない」と考えられていた時代もあったようですが、最近の研究により、脂肪肝の方の相当数に肝臓が肝硬変に向けて進み始めている人がいることがわかってきました。ただ、検診などで脂肪肝であることを指摘される人はたくさんいます。その中で自分が肝硬変に向かっていくタイプの脂肪肝ではないか、つまりNASHなのではないかを一度調べておくことをお勧めします。ウイルス性肝炎でもそうですが肝臓が肝硬変に向かって進みだすと肝臓の中に線維が増えてきて肝臓が硬くなっていきます(「肝硬変」という名前の由来です)。現在では腹部のエコーやMRI検査(図2)などによりかなり正確に肝臓の硬さ・肝臓の中の線維の量が測定できます。これで線維化が疑われた場合にはさらに肝生検といって肝臓に針を刺して細胞を取り、病態を確認します。

図2:MRIによる(肝硬度)肝臓の硬さ・肝硬変へ進行の程度の測定
現在までのところ、この「脂肪肝」「NASH」に必ず効くといわれている薬はありません。唯一確実な方法は減量すること、痩せることです。しかし糖尿病などと同様、なかなかこれが成功しない方が多いのが現状です。一方、世界中に患者さんが多いことから、世界中で必死になって有効な薬がないかと研究・開発が続いています。すでに実際に使用する手前まで来て、「臨床試験」といって効果・安全性の最終確認をしている段階のお薬も複数あります。当院もこの「臨床試験」のいくつかに参加しており、脂肪肝ですでに肝硬変に近く、肝細胞癌ができる危険も高まっている人に少しでも早く薬を使用してもらえるような体制を整えています。
次に、肝疾患の最大の死亡原因である肝細胞癌についてみていきましょう。大垣市民病院では、以前からたくさんの肝細胞癌の患者さんの診断・治療を行なっており、その患者数は令和1年末で3000人近くに及びます。
肝細胞癌の危険因子
上述のように、肝細胞癌は発生しやすい患者さんをある程度見だすことができます。すなわち慢性肝疾患の患者さんです。ウイルス性肝炎や脂肪肝がある方で、さらに肝硬変により近い方、つまり肝線維化のより進行している方は肝細胞癌が非常にできやすくなっているのです。われわれは肝細胞癌の発見が手遅れにならないように、このような危険のある患者さんをできるだけ多く見出し、そういう患者さんに対しては腫瘍ができた場合の早期発見・早期治療のためより頻繁に肝がんが発生していないかの検査(サーベイランス)を行うようにしています。肝臓の数値が高い方は一度は受診をしていただき、そういう「危険な」状態にないかどうかを一度しっかりと評価してもらうことをお勧めします。
肝細胞癌早期発見のために
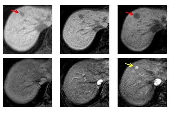
肝細胞癌の早期発見・早期診断のために私たちはあらゆる努力をしています。肝臓が「沈黙の臓器」であるのは癌ができた時も同じで、しっかりした治療が可能な肝がんの大きさでは本人に症状はなく、症状が出てから癌が見つかるのではほぼ手遅れです。肝癌の早期発見にはまず画像検査、特に日常外来で行える腹部超音波検査が基本です。これで肝臓の腫瘍が疑われたり、超音波で十分な観察ができない場合にはCTやMRI検査を行います。特に最近ではMRI検査では、特殊な造影剤を用いてまだ肝細胞癌になる前の、非常に早期な腫瘍を見つけることが可能です(図3)。

図3:MRI検査でみられる、非常に早期な腫瘍(赤い矢印)の肝細胞癌(黄色の矢印)への進行
また、採血検査では腫瘍マーカーといって、肝細胞癌ができたときにしばしば(必ずではない)上昇する物質を定期的に測定しており、腫瘍マーカーの上昇があればたとえ超音波検査で異常はなくてもCTやMRIを行うことがあり、これで早期の肝細胞癌が発見された例もあります。
肝細胞癌の治療
*他の癌治療との大きな違い
次に、肝細胞癌の治療についてみていきます。他の癌と同様、早期発見してよりしっかりと治療するのが重要であることはいうまでもありません。しかし、肝細胞癌の治療は、その癌が存在する「肝臓」の状態を常に考慮して行う必要があります。肝細胞がんの治療をした場合、その影響は癌だけにとどまりません。周りの肝臓も障害されます。もともと肝細胞癌は肝硬変の方、相当肝臓が弱った状態の方にできるため、癌の治療にともなう肝障害が逆にその患者さんの寿命を縮めてしまう可能性もあるのです。肝細胞癌でより治癒度(根治度)の高い治療は外科的な肝切除と考えられますが、癌が診断された時の肝臓の余力があまり少ないと手術はできない場合もあります。
そういう意味では、癌ができるのを防ぐだけでなく、周りの肝臓を弱らせない方策も大切です。上述のように最近ではB型肝炎・C型肝炎ではウイルスを抑える内服薬があり、これによって「肝炎」で肝臓が弱るのを防ぐことができます。このため癌の治療も積極的にでき、肝細胞癌患者の寿命は改善しています(図4・5)。

図4(左):抗ウイルス治療の有無による肝細胞癌患者の生存率の差(B型肝炎)
図5(右):抗ウイルス治療の有無による肝細胞癌患者の生存率の差(C型肝炎)
*さまざまな選択肢がある肝細胞癌の治療
一般的に癌の治療は、手術が第一、手術できなければ抗がん剤治療または放射線治療というのが基本です。ところが肝臓癌では手術・抗癌剤治療以外に、以前からさまざまな効果的な内科治療が行われてきました。今でも肝細胞癌の治療の中で最も根治度の高い(再発しにくい)治療法は切除、すなわち外科手術と考えられます。しかしながら、内科の治療によっても手術に遜色ないほどの治療結果が得られることも少なくありません。
肝細胞癌の内科治療の代表的なものはラジオ波焼灼治療(RFA)と肝動脈化学塞栓術(TACE)です。ラジオ波焼灼治療は超音波では、まず超音波で腫瘍を見ながら肝臓に特殊な針を刺す(穿刺)します。この針は特殊な針で器械に接続されており、スイッチを入れると針の先端2cmないし3cmが60℃〜80℃に加熱されます。これで腫瘍を焼灼して(焼いて)死滅させようとするものです。2cm程度までの早期に見つかった肝細胞癌ではこの治療で十分腫瘍全体を死滅させることが可能で、手術に負けない治療成績を残しています。超音波の画像は見にくい場合があるのですが、当院では最新鋭の医療機器を用いて、CTやMRIの画像と超音波の画像を同期させより確実に目的の腫瘍の中心に針が刺せるようにしています(図6)。

図6:MRI画像(右)とエコー画像(左)を同期させたより確実な肝細胞癌の描出(黄色で示すのが肝細胞癌)
肝動脈化学塞栓術は、肝細胞癌に血液を送っている血管をカテーテル検査で見つけ出し、できるだけ近くまでカテーテルを送って抗がん剤を流した後に血管をつめる(塞栓する)治療法です。癌に血液を送っている血管がなかなか見つからなかったり、血液を送っている血管が複数あって治療に苦労することがありますが、当院ではIVR-CTという非常に高度な血管造影・CT装置(図7)を用いて血管の立体画像を作り、より早く治療の必要な血管を見つけ出して治療していくことを心がけています(図8)。

図7(左):IVR-CT装置
図8(右):血管の立体画像と肝細胞癌へ血液を送る血管の同定
その他、最近ではソラフェニブ、レゴラフェニブ、レンバチニブといった内服の抗がん剤も非常に進歩しています。以前は肝細胞癌の内服抗がん剤は皆無に等しかったのですが、他の癌と同様、現在新しい肝細胞癌用の抗がん剤が続々と開発されてきています。
*誇るべき大垣市民病院の肝細胞癌治療成績
ここで、大垣市民病院における肝細胞癌治療の成績をご紹介します。

図9:病院に通院していて発見された肝細胞癌の診断後の生存率の日米比較
赤線:大垣市民病院・青線:アメリカの肝臓専門病院
図9は、肝細胞癌の早期発見のために病院に通院していた患者さんで肝細胞癌がみつかった患者さんにおける治療後の生存率について、当院とアメリカの有名な肝臓専門の大学病院とを比較したものです。これを見ると大垣市民病院の患者さんの生存率が高い、つまり長生きしていることは一目瞭然です。これは、患者さんがしっかり当院に通院し、残念ながら癌ができたとしても早期に発見され、治療もしっかりと受けていただいた上で、さらにB型肝炎やC型肝炎の患者さんについてはその治療もしっかり行なってきた、これらの努力の賜物でしょう。医師だけでなく、放射線技師、薬剤師、看護師らが力を合わせ、そこにもちろん患者さんご本人の努力・協力があってこのような高い生存率は達成されています。もはやしっかり検査・治療をしていけば、肝細胞癌は決して恐れる癌ではないということです。
*より負担の少ない肝細胞癌の治療を目指して
さらに最近では、癌の治療において患者さんにより負担の少ない治療を目指しています。外科では、肝細胞癌の切除の大半は開腹ではなく、腹腔鏡で行うものとなりました。今でも肝臓の切除は外科手術の中でも1〜2を争う大手術です。それだけ患者さんの負担も大きかったのですが、腹腔鏡で行うことにより術中・術後の患者さんの負担はグンと減り、入院期間も少なくて済むようになりました。
一方内科治療でも、肝動脈塞栓術のカテーテルの挿入を従来の鼠径(足の付け根)からではなく、橈骨(手首の血管)から行うようになりました(図10)。

図10:手首の血管からのアプローチによる肝細胞癌のカテーテル治療
以前鼠径から治療を行なってきた時には術後動脈からの出血を防ぐためカテーテルを抜いた動脈の穴を重しで圧迫し、病室に帰っても4〜8時間の間仰向けで動けない状態を強いられました。橈骨(手首)から治療を行うようになって、患者さんは治療から病室に戻ってもすぐに普通に座り、歩いてトイレも行けるようになっています。
おわりに
慢性肝疾患・肝細胞癌は一連のつながった病気として捉えるべきものであり、それは手遅れになるまで症状の出ない、その間に進行する怖い病気です。予防の重要性とその方法・肝細胞癌の治療の選択の複雑さから、慢性肝疾患や肝細胞癌の治療の選択には専門医による判断が欠かせません。「肝臓が悪い」と言われた場合にはいちど病院を受診し、通院が必要かどうか、定期的な検査が必要かどうか、治療が必要かどうか専門に相談していただくことが大切です。
*ALBIスコア:大垣市民病院のデータから生まれた肝機能評価の新しい世界基準
肝臓は「体の工場」と言われるように、体に必要なさまざまなものを合成し、また不要になったものを処理しています。肝疾患の患者さんではこの能力(肝機能)が、病気の進行とともに徐々に低下し、末期にはこれにともなって腹水や肝性脳症、黄疸などの症状が出ます。肝硬変の患者さんでは、長らくその肝機能(の低下)はChild-Pugh分類(チャイルド分類)という指標で評価されてきました。これはアルブミン・ビリルビン・プロトロンビン時間という採血結果と腹水の有無と程度・肝性脳症の有無と程度で判断するものです。この場合、腹水や肝性脳症の有無・程度は専門家の判断によってきました。
最近ALBIスコアというアルブミンとビリルビンという2つの採血結果だけで簡単に計算できる肝機能の指標が提唱され、世界中で広く使用され始めています。実はこのALBIスコア、もともとは大垣市民病院のデータで作成されたものなのです。その結果を世界中のさまざまな国のデータで検証し、どこでも同じ結果が得られるということが確認されて2015年に発表されました(文献・1)。ALBIスコアのメリットは専門家でなくても客観的に評価できること、採血結果だけで簡単に計算できること、肝硬変になる以前の早期のわずかな肝機能の低下をも検出できることなどがあげられます。消化器内科で採血された患者さんではALBIスコアが自動計算されて採血結果に載せられています。また、ALBIスコアは肝癌患者さんの肝切除(外科手術)の可否を判断する際に用いられるICGテストの結果とも強く相関しており、薬を使う必要のあるICGテストにも代用が期待されます(文献・2)。早期の肝機能の低下を反映できることから、最近私たちはチャイルド分類に代えて使っていくべきだということを主張しています(文献・3)。
肝臓は生命維持に不可欠な臓器です。ALBIスコアはもともと肝癌の患者さんの生存予測の目的で作成されましたが、その客観性・簡便性から発表後まもなくからさまざまな疾患の肝機能評価に応用され、その有用性が報告されました(文献・4)。例えば心不全の患者さんのその後の経過や、大腸癌や膵癌、肺癌などの他臓器のがん患者さんの生存にもALBIスコアが大きく関わっていることが最近報告されています。また、腎機能の指標であるeGFRのように、ALBIスコアで肝機能を評価して薬の量を調節することも行われ始めています。このように肝臓の指標として便利なALBIスコアは、今後肝機能の指標としてますます世界的に、またあらゆる医療の分野で使用されて行くことが予想されます。















